Therapeutische Verfahren im Oberlausitzer Gefäßzentrum
Gefäßzentrum
Kontaktinformationen
Kontakt
Krankenhaus Bautzen
Oberlausitzer Gefäßzentrum
Am Stadtwall 3
02625 Bautzen
Telefon (03591) 363-2117
Telefax (03591) 363-2325
Sprechstunden
Wir bitten um telefonische Voranmeldung:
Telefon (03591) 363-2117
Einweisersprechstunde Gefäßchirurgie
Oberarzt Dr. med. Herold Kuffner
Freitag 8.00 – 10.00 Uhr
Eine stationäre Behandlung im Krankenhaus erfordert einen Einweisungsschein eines Haus- oder Facharztes.

Therapeutische Verfahren - Interventionen
Zur Behandlung von Gefäßerkrankungen stehen uns neben Gefäßoperationen auch minimal invasive Therapiemethoden zur Verfügung. Hierzu gehören Eingriffe an Arterien oder Venen der Arme und Beine, des Halses sowie des Brust- und Bauchraumes. Diese werden über einen durch Punktion geschaffenen Gefäßzugang mit Hilfe spezieller Drähte, Katheter u. ä. durchgeführt. In der Regel sind diese Interventionen sehr schmerzarm.
Nachfolgend erhalten Sie einen Überblick der gängigen Methoden, die im Oberlausitzer Gefäßzentrum zur Anwendung kommen. Abhängig vom Schweregrad der Durchblutungsstörung erfolgt oft eine Kombination der verschiedenen Verfahren.
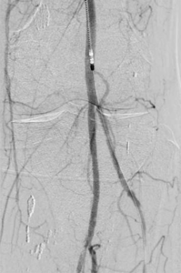
1. Der Gefäßzugang – Voraussetzung für jede Intervention
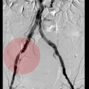
2. Angioplastie/ PTA – Gefäßweitung
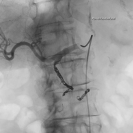
3. Stentimplantation – Einsetzen eines Stentes/ Gefäßstütze
4. Atherektomie – mechanische Entfernung der Gefäßablagerungen
5. Thrombektomie – mechanische Entfernung von Blutgerinnseln
6. Fibrinolyse – medikamentöses Auflösen von Blutgerinnseln
7. Embolisation – Verschluss von Gefäßen
1. Der Gefäßzugang – Voraussetzung für jede Intervention
Für interventionelle Behandlungsmethoden ist ein Zugang ins Gefäßsystem notwendig. Dieser wird am häufigsten in der Oberschenkelarterie/-vene im Bereich der Leiste oder der Armarterie/-vene im Ellenbogen- oder Handgelenksbereich angelegt.
Dazu erfolgt nach gründlicher Desinfektion und lokaler Schmerzstillung die Nadelpunktion des Gefäßes mit anschließender Einführung einer Gefäßschleuse (Gefäßventil), die dem Behandler ermöglicht, unterschiedliche Kathetersysteme zur Behandlung ohne Blutungs- und Verletzungsgefahr schmerzarm in die zu behandelnde Gefäßregion einzuführen.
Nach der Behandlung wird der Gefäßzugang/Punktionsstelle wieder mit einem Verschlusssystem abgedichtet und ein Kompressionsverband von außen angelegt, damit es zu keiner unkontrollierten Blutung kommt. Zur Sicherheit ist eine mehrstündige Bettruhe einzuhalten.
2. Angioplastie/ PTA – Gefäßweitung
Einengungen oder Verschlüsse von Gefäßen können durch Ballonkatheter beseitigt werden. Dazu werden die Ablagerungen in den Gefäßen zerteilt und in die Gefäßwand gedrückt, um so diese Stelle wieder zu glätten.
Neben sogenannten Normalballons kommen auch spezielle andere Arten von Ballonkathetern zur Anwendung. Dazu gehören u. a. Schneidballons oder Ballons die Stoßwellen abgeben, für sehr harte Gefäßablagerungen. Auch Ballonkatheter mit einer medikamentösen Beschichtung, die an die Gefäßwand abgegeben wird, um den arteriosklerotischen Gefäßumbau zu bremsen, werden eingesetzt.
3. Stentimplantation – Einsetzen eines Stentes/ Gefäßstütze
Nach der Gefäßweitung kann durch Einrisse in den inneren Ablagerungen oder durch die Elastizität der Gefäßwand die Weitung nur ungenügend erfolgreich sein. Zur Stabilisierung des Befundes wird dann in diese Gefäßregion ein Stent eingesetzt. Dieser besteht aus einem feinen starren oder flexiblen Edelmetallgeflecht und kann auch mit Medikamenten gegen die Arteriosklerose oder zur Verhinderung der Bildung von Blutgerinnseln beschichtet sein.
Unter bestimmten Bedingungen, v.a. bei Verletzungen der Gefäße mit daraus resultierender Blutung oder lokalen Gefäßerweiterungen, werden Stents mit einer Ummantelung eingesetzt, die die Gefäßwand abdichten oder die Erweiterung überbrücken.
4. Atherektomie – mechanische Entfernung der Gefäßablagerungen
In speziellen Fällen der Durchblutungsstörungen ist es notwendig, die verschließenden oder einengenden Ablagerungen zu entfernen, bevor man das Gefäß erweitern kann. Dazu werden mechanische Katheter eingesetzt, die fräsen oder hobeln und das arteriosklerotische Material nach außen transportieren.
5. Thrombektomie – mechanische Entfernung von Blutgerinnseln
Wenn ein Gefäß durch Blutgerinnsel verschlossen ist, kann man den Verschluss mechanisch wiedereröffnen, indem man die Ablagerungen über spezielle Katheter absaugt. Dazu stehen uns Kathetersysteme, die mit Vakuum arbeiten bzw. zusätzlich die Gerinnsel vor dem Absaugen mit Hilfe von Wasserstrahlen oder Rotation der Katheterspitze zerkleinern, zur Verfügung.
6. Fibrinolyse – medikamentöses Auflösen von Blutgerinnseln
Gefäßverschließende Blutgerinnsel können auch durch Medikamente aufgelöst werden, um den Blutfluss wiederherzustellen. Damit dieses Medikament sicher und effektiv wirken kann, wird es über einen Katheter direkt zum Verschluss gebracht. Das erfolgt über eine langsame mehrstündige Gabe. Zur Verbesserung der Wirkung kann durch Spezialkatheter das Medikament mit Hilfe von Schallwellen in das Blutgerinnsel transportiert werden.
7. Embolisation – Verschluss von Gefäßen
Bei Blutungen durch Gefäßverletzungen, Gefäßmissbildungen, Tumorerkrankungen o. ä kann es sich in der Behandlung notwendig machen, Blutgefäße von innen zu verschließen. Dazu werden über Katheter am Ort des geplanten Gefäßverschlusses kleine Verschlusskörper, Verschlussspiralen oder verschließende Flüssigkeiten injiziert. Bei Tumoren ist auch die lokale Gabe von Chemotherapeutika möglich.
Spezielle Einsatzgebiete der interventionellen Therapien
Behandlung des Dialysezuganges:
Patienten die sich einer regelmäßigen Blutwäsche unterziehen müssen (Dialyse), haben dafür einen operativ geschaffenen Gefäßzugang zum Punktieren (Dialysefistel/Dialyseshunt). Dazu wird eine Hautvene direkt an eine Arterie angeschlossen. In dieser Shuntvene können Einengungen und Verschlüsse auftreten, die mit vielen interventionellen Methoden behandelbar sind. Diese Behandlungen führen wir über einen Zugang in der Shuntvene meist ambulant in Zusammenarbeit mit der jeweiligen Dialyseeinrichtung durch.
Behandlung des undichten Stentes in der Hauptschlagader:
Nach der Versorgung einer Erweiterung der Hauptschlagader des Bauches kann es zu Undichtheiten des Stentes oder zu einem Zufluss aus kleinen Arterien kommen, die zu einer gefährlichen Zunahme der Erweiterung führen können. Für die Behandlung stehen uns alle Behandlungsmethoden zum Verschließen zur Verfügung.
Behandlung der eingeengten Halsschlagader:
Patienten mit hochgradigen arteriosklerotischen Einengungen der Halsschlagader mit oder ohne Symptome eines Schlaganfalles, können neben der operativen Behandlung auch interventionell behandelt werden. Dazu wird ein Stent in die eingeengte Arterie eingesetzt. Ein spezielles Filtersystem verhindert dabei das Verschleppen von Wandablagerungen in die Hirnarterien und damit die Gefahr einer während der Behandlung auftretenden Durchblutungsstörung des Gehirnes.






































